Zubný kameň a povlak predstavujú bežný problém, ktorý môže viesť k vážnejším ochoreniam ústnej dutiny, ako sú zubný kaz a ochorenia ďasien. Zatiaľ čo profesionálne čistenie u zubára je najúčinnejším spôsobom, ako sa zbaviť týchto nepríjemných nánosov, rastúci záujem o domáce riešenia viedol k vývoju ultrazvukových čističov zubného kameňa. Tieto prístroje sľubujú efektívne odstránenie zubného kameňa, povlaku a nečistôt prostredníctvom jemných ultrazvukových vibrácií, čím prispievajú k zdravšiemu a belšiemu úsmevu.

Pochopenie problému: Zubný povlak a zubný kameň
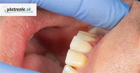
Zubný povlak je lepkavý, bezfarebný film zložený z baktérií, zvyškov potravy a slín, ktorý sa neustále tvorí na zuboch. Je to prirodzený jav, ale ak sa neodstráni pravidelným a dôkladným čistením zubov, môže sa stať živnou pôdou pre škodlivé baktérie. Tieto baktérie produkujú kyseliny, ktoré narúšajú zubnú sklovinu a vedú k vzniku zubného kazu. Okrem toho, môžu spôsobiť zápal ďasien, ktorý sa prejavuje krvácaním a bolesťou.
Ak sa povlak neodstráni včas, začne sa v ňom ukladať minerály zo slín, čím sa postupne mení na tvrdý, žlto-hnedý nános nazývaný zubný kameň. Zubný kameň sa najčastejšie usadzuje na vnútornej strane dolných rezákov a na povrchu zubov v blízkosti ďasien. Na rozdiel od povlaku, zubný kameň už nie je možné odstrániť bežným čistením zubnou kefkou. Jeho prítomnosť ďalej podporuje hromadenie povlaku a baktérií, čím sa vytvára začarovaný kruh vedúci k zhoršeniu ochorení ďasien, ako je parodontitída. Parodontitída postihuje nielen samotný zub, ale aj hlbšie štruktúry ďasna a môže viesť k rozpúšťaniu kosti, čo v konečnom dôsledku môže viesť k strate zubov.
Profesionálne riešenia: Dentálna hygiena a odstránenie zubného kameňa
Zubní lekári a dentálni hygienici ponúkajú profesionálne riešenia na odstránenie zubného kameňa a prevenciu ochorení ústnej dutiny. Medzi najbežnejšie metódy patrí:
- Ultrazvukové čistenie: Pri tejto metóde sa používajú špeciálne ultrazvukové prístroje, ktoré generujú vysokofrekvenčné vibrácie. Tieto vibrácie rozrušia a rozbijú aj tie najtvrdšie vrstvy zubného kameňa. Ultrazvukové koncovky sa počas zákroku zohrievajú, preto je nevyhnutný neustály prívod vody, ktorý slúži na chladenie a vyplavovanie uvoľnených častíc. Frekvencia ultrazvuku sa dá nastaviť podľa potreby, aby sa zabezpečilo čo najšetrnejšie a najefektívnejšie odstránenie kameňa bez poškodenia zubnej skloviny. Tento zákrok zvyčajne trvá len niekoľko minút a odporúča sa absolvovať ho minimálne raz ročne.
- Mechanické odstránenie pomocou kyriet: Po ultrazvukovom ošetrení alebo ako samostatná metóda sa používajú špeciálne ručné nástroje, tzv. kyrety. Tieto ostré nástroje, ktoré vyzerajú ako malé háčiky, sú určené na manuálne zoškrabanie zvyškov zubného kameňa, najmä z ťažko dostupných miest. Práca s kyretami vyžaduje špeciálne školenie a zručnosti, preto sú určené len pre odborníkov.
- Leštenie zubov: Po odstránení zubného kameňa sa zuby leštia pomocou špeciálnych pást a kefiek. Leštenie nielenže odstraňuje povrchové škvrny a zanecháva zuby hladké a lesklé, ale tiež vyhladzuje drobné nedokonalosti na povrchu skloviny, čím sťažuje opätovné usadzovanie povlaku.
- Pieskovanie (Air-flow): Táto moderná technika sa používa na odstránenie pigmentácií a jemných povlakov. Zuby sa čistia silným prúdom vody zmiešaným so špeciálnym zubným pieskom. Veľkosť zrniečok piesku je v mikrometroch, aby nedošlo k poškriabaniu zubnej skloviny. Air-flow je účinný najmä pri odstraňovaní škvŕn od kávy, čaju alebo nikotínu.
Profesionálna dentálna hygiena je kľúčová pre udržanie zdravia ústnej dutiny a prevenciu vážnejších ochorení. Zubný lekár alebo hygienička vám tiež poskytne rady týkajúce sa správnej domácej starostlivosti, výberu vhodných produktov ústnej hygieny, ako sú zubné pasty s fluoridom (napr. Parodontax) alebo medzizubné kefky a dentálne nite.
Ako sa používa medzizubná kefka
Domáce ultrazvukové čističe zubného kameňa: Sľuby a realita
Na trhu je dostupných čoraz viac domácich ultrazvukových čističov zubného kameňa. Tieto prístroje, často napájané batériami a vybavené viacerými výmennými nadstavcami, sľubujú jednoduché a efektívne odstránenie povlaku a zubného kameňa priamo z pohodlia domova. Frekvencia vibrácií sa pohybuje v rozmedzí od 26 000 do 31 000 vibrácií za minútu, prípadne až 32-40 kHz v závislosti od modelu. Niektoré prístroje ponúkajú aj viaceré intenzitné režimy a LED osvetlenie pre lepšiu viditeľnosť.
Vlastnosti a výhody uvádzané výrobcami:
- Efektívne odstraňovanie zubného kameňa a nečistôt pomocou ultrazvukových vibrácií.
- Bezpečné použitie bez poškodenia zubnej skloviny.
- Viaceré nadstavce na precízne čistenie rôznych oblastí, vrátane medzizubných priestorov a okolia ďasien.
- Ergonomický dizajn a jednoduché ovládanie.
- Prevádzka na batérie, čím odpadá potreba nabíjania.
Technické špecifikácie sa líšia, ale často zahŕňajú:
- Napájanie: 1x AAA batéria alebo nabíjateľná batéria.
- Materiál: ABS plast, kov.
- Frekvencia ultrazvuku: 26 000 - 31 000 alebo 32 000 - 40 000 vibrácií za minútu.
- Hmotnosť: približne 150 g.
- Obsah balenia: čistič, viacero nadstavcov, stojan, originálne balenie.
Dôležité bezpečnostné informácie:
- Nepoužívajte na poranené ďasná alebo citlivé zuby.
- Neponárajte celý prístroj do vody; čistite len nadstavce.
- Uchovávajte mimo dosahu detí.
- Pred prvým použitím si prečítajte návod na obsluhu.
Napriek sľubným marketingovým tvrdeniam je dôležité pristupovať k domácim ultrazvukovým čističom s istou dávkou skepsy. Zubná lekárka MDDr. Andrea Hrubá vo svojom edukatívnom projekte Zápisník zubárky upozorňuje na potenciálne riziká spojené s neodbornou manipuláciou. Profesionálne ultrazvukové prístroje u zubára majú sofistikované chladiace systémy a presne kalibrované frekvencie, ktoré sú nevyhnutné na bezpečné a efektívne odstránenie zubného kameňa. Domáce prístroje často tieto bezpečnostné prvky postrádajú.
Okrem toho, zubný kameň sa často usadzuje pod ďasnom a v ťažko dostupných miestach, kde laik len ťažko dosiahne s presnosťou potrebnou na bezpečné odstránenie. Použitie ostro zakončených nástrojov bez adekvátneho tréningu a chladenia môže viesť k poškodeniu ďasien, zubnej skloviny alebo dokonca k prenosu infekcie. Sľuby o liečbe áft alebo ničení baktérií ultrazvukom sú skôr marketingovým trikom, pretože ultrazvuk nie je sterilizátor ústnej dutiny.
Predajcovia často prezentujú tieto produkty na zahraničných e-shopoch s minimálnymi cenami alebo ich predávajú za vyššie ceny na domácich platformách. Recenzie na týchto stránkach bývajú často prehnane pozitívne a nemusia odrážať reálnu účinnosť a bezpečnosť produktu.

Prevencia je kľúčom k zdravému úsmevu
Bez ohľadu na to, či používate profesionálne služby alebo sa spoliehate na domáce pomôcky, najlepšou stratégiou proti zubnému povlaku a kameňu je dôsledná prevencia. To zahŕňa:
- Pravidelné a správne čistenie zubov: Čistite si zuby minimálne dvakrát denne fluoridovou zubnou pastou po dobu dvoch minút. Používajte mäkkú zubnú kefku a správnu techniku čistenia, ktorá zahŕňa jemné krúživé pohyby a čistenie všetkých plôch zubov. Sonické kefky môžu byť efektívnejšou alternatívou k manuálnym kefkám.
- Čistenie medzizubných priestorov: Používajte dentálnu niť alebo medzizubné kefky na odstránenie povlaku a zvyškov potravy z medzizubných priestorov, kde sa zubný kameň najčastejšie usadzuje.
- Zdravá strava: Vyvážená strava s dostatkom vitamínov a minerálov podporuje celkové zdravie ústnej dutiny. Obmedzte konzumáciu sladkých a kyslých nápojov a potravín, ktoré prispievajú k tvorbe zubného kazu.
- Pravidelné návštevy zubára: Nezabúdajte na pravidelné preventívne prehliadky a profesionálnu dentálnu hygienu u vášho zubára alebo dentálneho hygienika. Tí dokážu včas odhaliť a odstrániť zubný kameň a poradiť vám s najlepšou starostlivosťou o vaše zuby.
Hoci domáce ultrazvukové čističe zubného kameňa môžu predstavovať lákavú možnosť pre tých, ktorí chcú ušetriť čas a peniaze na návštevách zubára, je dôležité si uvedomiť ich obmedzenia a potenciálne riziká. Bezpečnosť a zdravie vašich zubov by mali byť vždy na prvom mieste. V prípade akýchkoľvek pochybností alebo problémov s ústnou hygienou sa vždy obráťte na svojho zubného lekára.
tags: #jednoduchy #ultrazvuk #na #odstranenie #zubneho #kamena